😟 입안 물집, 왜 생기는 걸까요?
입안 물집은 정말 흔하게 나타나는 증상 중 하나인데, 막상 생기면 왜 생겼는지 궁금해질 때가 많죠. 제 경험상, 단순히 피곤해서 그런가 싶다가도, 사실 그 뒤에는 여러 복합적인 원인들이 숨어있더라고요. 지금부터 입안 물집을 유발하는 주요 원인들을 자세히 들여다볼게요. 아마 여러분이 겪고 있는 물집의 이유를 찾을 수 있을 거예요.

1. 구내염의 흔한 원인들
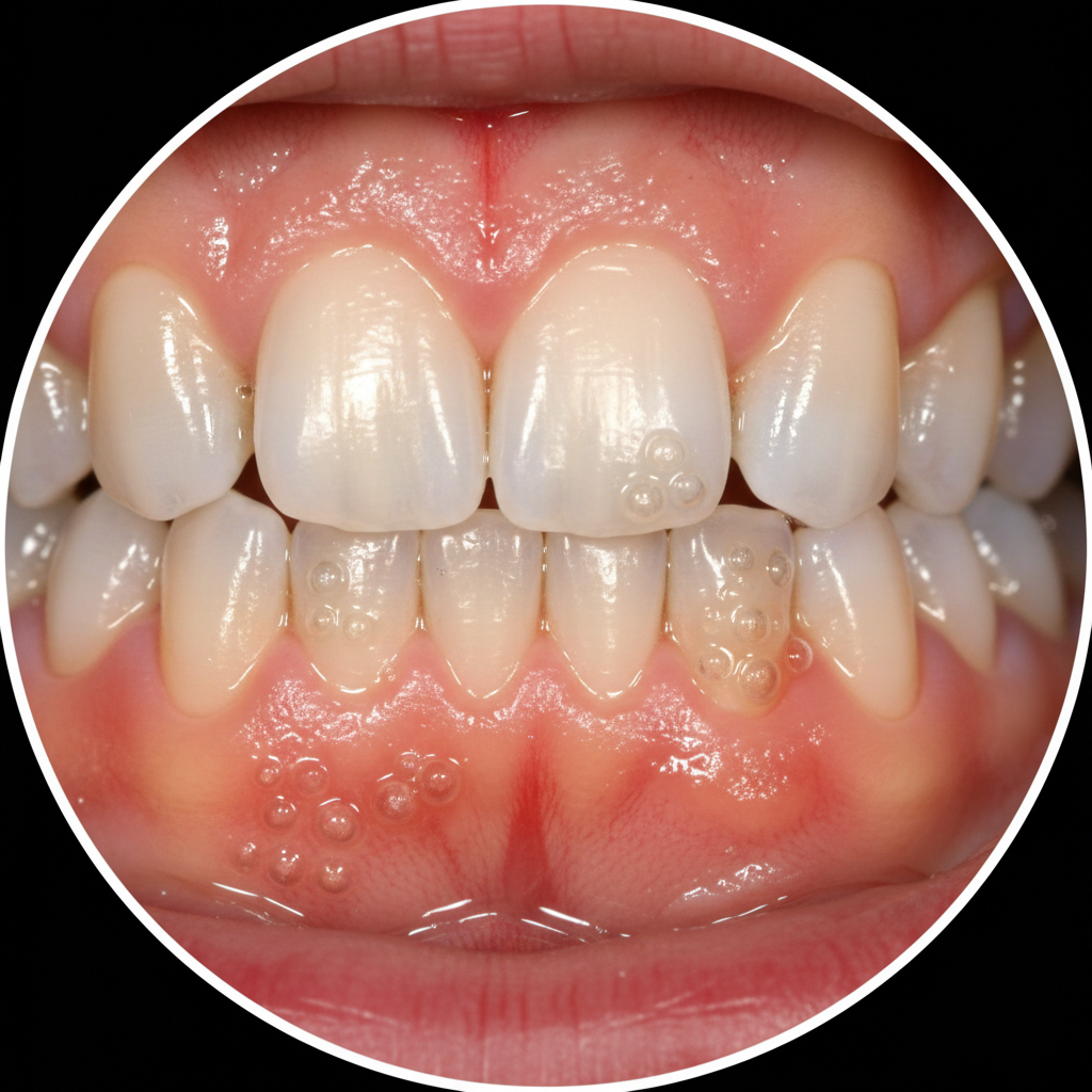
입안 물집의 가장 흔한 주범은 역시 구내염인데요. 크게 두 가지로 나눌 수 있어요. 먼저, 우리가 흔히 ‘혓바늘’이라고 부르는 아프타성 구내염은 작고 하얀 궤양 형태로 나타나며, 정말 통증이 심하죠. 정확한 원인은 아직 밝혀지지 않았지만, 스트레스나 면역력 저하, 영양소 결핍이 영향을 미친다고 알려져 있어요. 아, 그런데 헤르페스성 구내염은 이와는 좀 다르게, 작은 물집들이 여러 개 모여서 생기는데 바이러스 감염이 원인이고요.
2. 외상이나 자극
생각해보면, 저도 모르게 뜨거운 음식이나 음료를 먹다가 입안을 데이거나, 딱딱한 음식을 씹다가 혀나 볼을 깨무는 경우가 종종 있었어요. 이렇게 물리적인 자극이나 외상도 물집의 원인이 될 수 있습니다. 특히 교정 장치를 착용하고 있거나, 맞지 않는 의치 때문에 지속적인 마찰이 일어나는 경우에도 물집이 생기기 쉬우니 주의해야 해요.



3. 영양소 결핍과 면역력 저하
우리 몸의 면역 체계가 약해지면 입안 물집이 더 잘 생긴다는 사실, 알고 계셨나요? 특히 비타민 B군, 철분, 아연 같은 영양소들이 부족할 때 구강 점막이 약해져 물집이 생길 가능성이 커집니다. 피로가 쌓여 면역력이 떨어지면 평소에는 괜찮던 작은 자극에도 물집이 올라올 수 있으니, 영양제나 균형 잡힌 식단으로 면역력을 관리하는 것이 정말 중요하다고 생각해요.
4. 스트레스와 수면 부족
현대인의 고질병이라고 할 수 있죠, 스트레스와 수면 부족! 이것들이 입안 물집과도 아주 밀접한 관련이 있다는 것을 제가 직접 겪어보고 알았어요. 스트레스를 받으면 자율신경계에 영향을 미쳐 침 분비가 줄어들고 구강 건조증이 생기기 쉽습니다. 또한, 충분한 수면을 취하지 못하면 면역력이 급격히 떨어져 구강 내 유해균 활동이 활발해지고 염증 반응이 쉽게 일어날 수 있어요.



5. 특정 질환의 신호일 수도?
드물지만, 입안 물집은 때로는 심각한 전신 질환의 초기 증상일 수도 있습니다. 예를 들어 베체트병이나 자가면역 질환의 경우 반복적인 구강 궤양을 동반하기도 해요. 만약 물집이 자주 재발하거나, 다른 신체 증상(피부 발진, 관절통 등)과 함께 나타난다면 단순한 구내염으로 치부하지 말고 반드시 병원을 찾아 정확한 진단을 받아보는 것이 중요합니다. 솔직히 저도 이런 경우는 생각도 못 했는데, 알아두면 좋더라고요.
💡 입안 물집, 이렇게 관리하고 예방해 보세요!
입안 물집의 원인을 알았다면, 이제는 어떻게 관리하고 예방할지에 대한 고민이 필요하겠죠? 다행히 대부분의 입안 물집은 몇 가지 생활 습관 개선만으로도 충분히 호전될 수 있어요. 제가 효과를 본 방법들을 공유해 드릴게요!
1. 생활 습관 개선이 첫걸음
충분한 휴식과 수면은 그 어떤 약보다도 중요합니다. 우리 몸의 면역력을 높여주는 가장 기본적인 방법이죠. 또한, 규칙적인 운동은 스트레스를 해소하고 전반적인 건강을 증진시켜 입안 물집 예방에도 큰 도움이 됩니다. 음… 저는 주로 저녁에 가볍게 걷는 편인데, 이게 생각보다 효과가 좋았어요.



2. 음식 조절도 중요해요
맵거나 짜거나, 너무 뜨겁고 자극적인 음식은 입안 점막에 부담을 줄 수 있으니 가급적 피하는 것이 좋아요. 대신 비타민과 미네랄이 풍부한 신선한 채소와 과일을 충분히 섭취하고, 물을 많이 마셔 구강을 촉촉하게 유지하는 것이 좋습니다. 제가 직접 써보니, 이 작은 식습관 변화가 정말 큰 차이를 만들더라고요.
3. 올바른 구강 위생
청결한 구강 환경은 물집 예방의 기본입니다. 칫솔질은 부드럽게 하고, 치실이나 치간칫솔을 이용해 치아 사이까지 깨끗하게 관리해 주세요. 너무 강한 양치질이나 자극적인 구강청결제는 오히려 역효과를 낼 수 있으니, 순한 제품을 선택하는 것이 현명합니다.



4. 면역력 강화하기
앞서 언급했듯이, 면역력은 입안 물집에 정말 결정적인 역할을 합니다. 규칙적인 생활 습관과 균형 잡힌 식단은 물론, 필요하다면 종합 비타민이나 아연 등의 영양제를 복용하는 것도 좋은 방법이에요. 다만, 영양제는 전문가와 상의 후 복용하는 것이 가장 안전합니다.
5. 언제 병원에 가야 할까요?
대부분의 물집은 1~2주 내에 자연 치유되지만, 다음과 같은 경우에는 반드시 병원을 방문해야 합니다.
| 증상 | 주의 사항 |
|---|---|
| 2주 이상 지속되는 물집 | 만성적인 물집은 다른 질환의 신호일 수 있습니다. |
| 점점 커지거나 번지는 물집 | 염증이 심해지거나 감염이 의심됩니다. |
| 극심한 통증으로 식사가 어려운 경우 | 영양 섭취 불균형과 탈수를 유발할 수 있습니다. |
| 발열, 림프절 부종 등 전신 증상 동반 | 전신 질환이나 심한 감염 가능성이 있습니다. |



- ✅ 입안 물집의 가장 흔한 원인은 구내염 (아프타성, 헤르페스성)과 물리적 자극이에요.
- ✅ 면역력 저하, 영양소 부족, 스트레스, 수면 부족이 물집 발생에 큰 영향을 줍니다.
- ✅ 생활 습관 개선, 균형 잡힌 식단, 올바른 구강 위생이 물집 예방과 관리에 필수적입니다.
- ✅ 물집이 2주 이상 지속되거나, 통증이 심하고, 전신 증상이 동반되면 반드시 전문가의 진찰을 받아야 해요.
❓ 자주 묻는 질문 (FAQ)
Q1: 입안 물집은 저절로 터뜨려도 되나요?
A1: 억지로 터뜨리는 것은 피하는 것이 좋습니다. 물집을 터뜨리면 세균 감염의 위험이 커지고, 오히려 상처가 더 깊어져 회복이 늦어질 수 있습니다. 자연적으로 터지도록 두거나, 통증이 심하다면 병원에서 소독 및 처치를 받는 것이 안전해요.
Q2: 아이가 입안에 물집이 생겼을 때 어른과 다르게 관리해야 할까요?
A2: 네, 아이들은 면역력이 약해 합병증이 생길 위험이 더 크고, 통증으로 인해 식사를 거부하여 탈수 등의 문제가 발생할 수 있습니다. 특히 고열과 함께 물집이 나타난다면 수족구병이나 헤르페스성 구내염일 가능성이 높으니, 반드시 소아청소년과를 방문하여 진료를 받는 것이 중요해요.
Q3: 입안 물집 예방에 도움이 되는 영양소가 있나요?
A3: 비타민 B군 (특히 B1, B2, B6, B12), 철분, 아연 등이 구강 점막 건강과 면역력 유지에 중요한 역할을 합니다. 이러한 영양소는 통곡물, 잎채소, 견과류, 육류, 해산물 등에 풍부하게 들어있으니, 균형 잡힌 식단으로 섭취하는 것이 좋습니다.



본 포스팅은 정보 제공을 목적으로 작성되었으며, 전문적인 조언을 대체할 수 없습니다.
자료 출처:
- 대한치과의사협회
- 국민건강보험공단
- 서울대학교병원 건강칼럼